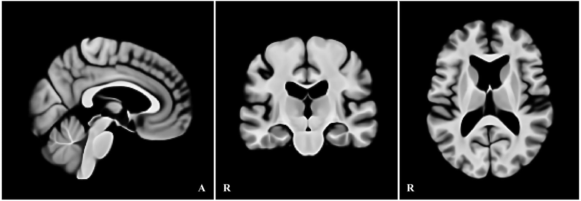
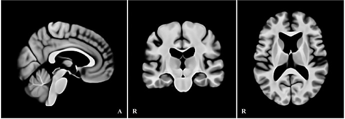
We publicly release an age-specific 1-mm T1 template for older adults (65+), together with
binary masks (GM/WM/CSF; brainstem, amygdala, caudate, hippocampus, pallidum, putamen, thalamus).
License: CC BY 4.0. No scientific content change across releases (voxel values / shape / affine identical).
What’s included
- T1w template (176×208×176; L–R, P–A, I–S; qform/sform = Scanner Anat)
- Binary masks for tissue classes and 7 subcortical nuclei
- CSVs for Dice and whole-brain metrics (3D-SSIM, CC, MSE)
- Brief convergence logs of the construction procedure
Quick start (registration with ANTs)
antsRegistrationSyN.sh -d 3 \
-f tpl-Elderly/tpl-Elderly_res-01_T1w.nii.gz \
-m subject_T1.nii.gz -o sub2ET_ -t s -n 8
Links
• OSF (public): https://osf.io/eavrj/ (DataLad: osf://eavrj)
• Dataset (version v1.1): https://doi.org/10.5281/zenodo.16827113
• GitHub (tree): https://github.com/KazumichiOta/elderly-brain-template/tree/main/tpl-Elderly
• Article (NeuroImage, 2025): https://doi.org/10.1016/j.neuroimage.2025.121473
Note: A submission to TemplateFlow is pending (PR #183). We will update this thread when it is accepted.
