Summary of what happened:
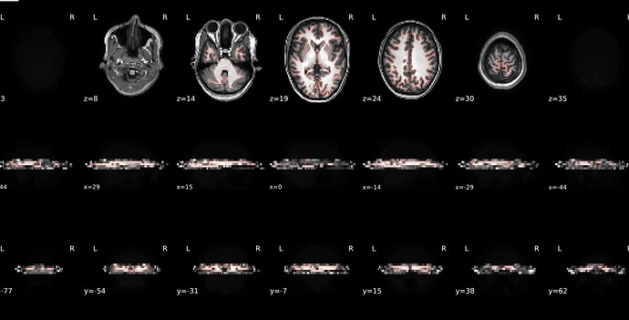
I am using ASLPrep version 25.1.0 after running fMRIPrep. With this I am reusing the freesurfer output produced from fmriprep where I forced bbr. When inspecting ASLPrep after upgrading to version 25.1.0 and re-running my data, coregistration is extremely poor. Looking at the reports, it is using mri_coreg
but all the examples I can find show it should be using FLIRT. My command is in the image below. Any help in this would be great as I have tried multiple different inputs to aslprep and I continue to get poor registration when 0.7.5 produced acceptable registration for the same data.
Command used (and if a helper script was used, a link to the helper script or the command generated):
PASTE CODE HERE
Version:
25.1.0
Environment (Docker, Singularity / Apptainer, custom installation):
Docker pennlinc/aslprep version 25.1.0
Data formatted according to a validatable standard? Please provide the output of the validator:

Relevant log outputs (up to 20 lines):
PASTE LOG OUTPUT HERE