Summary of what happened:
Hi!
I’m processing some basic (B=1000, 16 dir) DTI data with QSIPrep, using T2w maps (derived from dual-echo TSE scans) as the anatomical reference images due to the data being acquired in a limited clinical protocol. QSIprep runs to completion (using “fieldmap-less” susceptibility distortion correction), and overall the outputs look good, but I have a couple of questions about the expected outputs for the B0 reference image and coregistration with the anatomical image.
-
The text in the output .html file states that “fieldmap-less” susceptibility distortion correction involves inverting the T1w image intensity - does qsiprep internally handle T2w intensity correctly for this? The outputs of susceptibility distortion correction look good, but I would like to verify that this is valid with the T2w input and update the boilerplate text correctly based on what I actually ran.
-
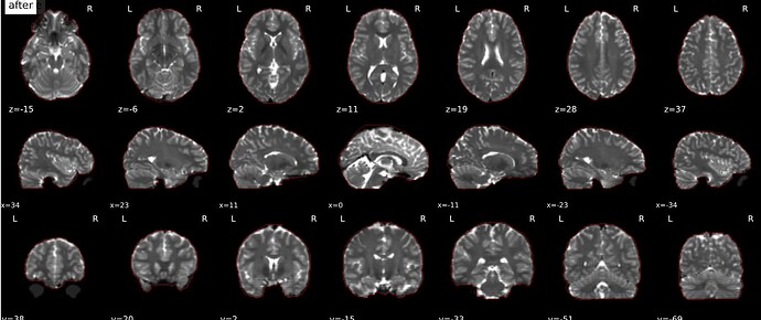
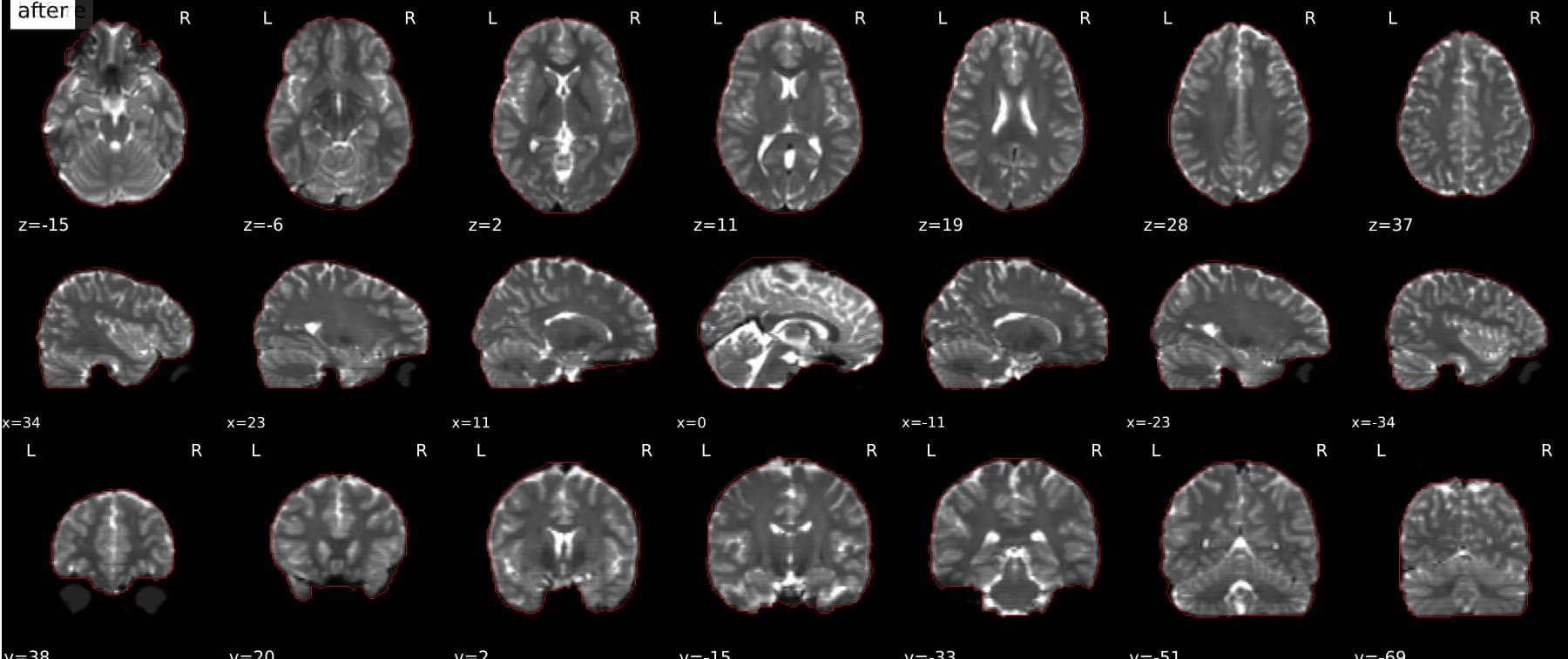
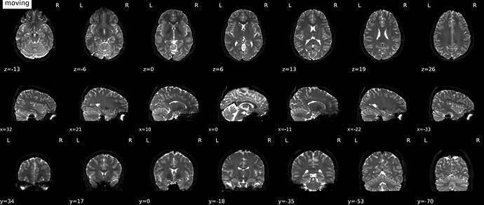
Should the masked (skull-stripped) B0 reference image be used in the alignment of the reference EPI image to the anatomical reference (coregistration)? The gif in the .html output shows a non-masked B0 image (eyeballs can be seen), even though the gif in the B=0 Reference Image step shows good masking. I also do not see the blue and cyan indicators in the b=0 reference gif, nor the red contour in the coregistration gif.
Any clarification on the expected outputs would be helpful!
Thank you,
Meaghan
Command used (and if a helper script was used, a link to the helper script or the command generated):
QSIprep command:
/bids /out participant \
-w /work \
--fs-license-file /opt/freesurfer/license.txt \
--skip-bids-validation \
--participant-label sub-E1600121J \
--session-id ses-03 \
--bids-filter-file /code/bids_filter_dti.json \
--eddy-config /code/eddy_params.json \
--output-resolution 1.5 \
--n-cpus 8 --mem 32G \
--separate-all-dwis \
--anat-modality T2w \
--denoise-method none \
--unringing-method none \
--use-syn-sdc error \
--force-syn
Version:
1.0.2
Environment (Docker, Singularity / Apptainer, custom installation):
Data formatted according to a validatable standard? Please provide the output of the validator:
PASTE VALIDATOR OUTPUT HERE
Relevant log outputs (up to 20 lines):
PASTE LOG OUTPUT HERE

