Fmriprep _desc-preproc_T1w.nii.gz result error

Dear experts,

I found fmriprep failed on one subject’s T1 preprocessing multiple times, but other subjects are working fine.

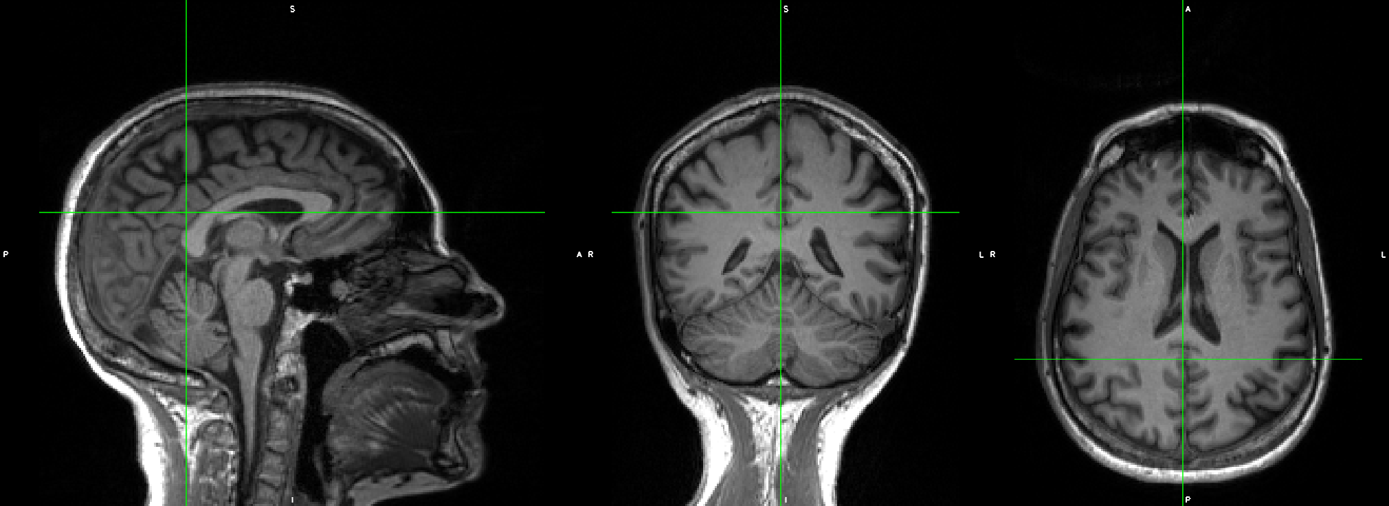
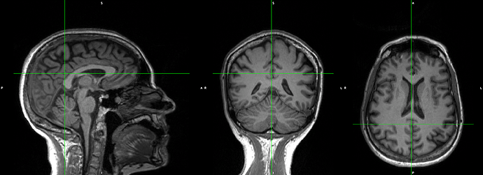
The original T1w image looked perfect, with no artifact, no head motion. But in the _desc-preproc_T1w.nii.gz, the image looked like it had two brains overlapping.
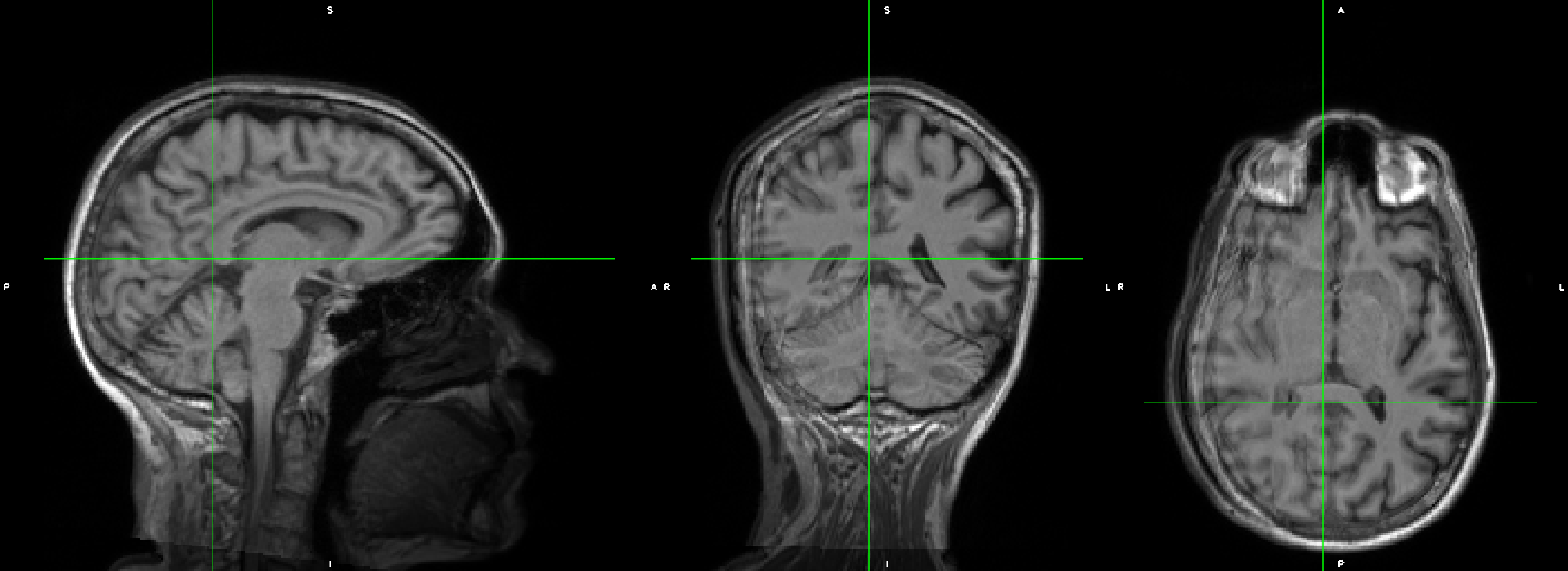
This is the raw T1w image

This is the _desc-preproc_T1w.nii.gz

The commend I used is:
docker run -d --rm -v /projects/transimg/Yuchuan/Projects/PD_Yale_AbbVie/raw_nifti:/data:ro -v /projects/transimg/Yuchuan/Projects/PD_Yale_AbbVie/output:/out -v /projects/transimg/Yuchuan/freesurfer/license.txt:/license nipreps/fmriprep:latest --skip_bids_validation --fs-license-file /license /data /out participant --participant_label sub-pd01 --use-aroma --ignore fieldmaps --write-graph

Thank you for your help!

Best,
Yuchuan

Hi Yuchuan,

Can you provide the following information that may help us resolve this:

  1. Did fMRIprep run to completion? Did fMRIPrep return any error in the log files?
  2. Do you have multiple T1 for these subjects? If so, are they different from one another (e.g. taken multiple years apart)?

Best,
Steven

Hi Steven,

Thank you for your quick response. See below:

  1. Did fMRIprep run to completion? Did fMRIPrep return any error in the log files?

Yes, the fMRIprep run completely. No error logs has found in the output folder.

  1. Do you have multiple T1 for these subjects? If so, are they different from one another (e.g. taken multiple years apart)?

Yes, this subject has two visits. But in session 1, only one T1 image is in that folder.

Best,
Yuchuan

fMRIPrep will use all available T1s (even from different sessions) to create the T1 reference. Do these images look different or were they acquired differently?

They were acquired at each visit separately so yes, there is some displacement between these two.

Hi Steven,

Thank you again for your help. Just want to let you know that after removing the session 2 T1w image in the folder, the results look good now.

Best,
Yuchuan

1 Like