Summary of what happened:
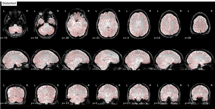
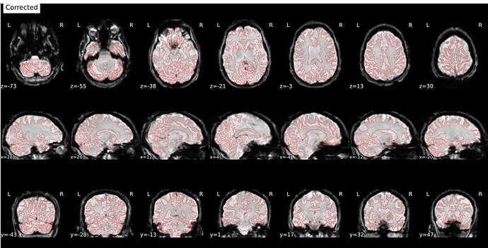
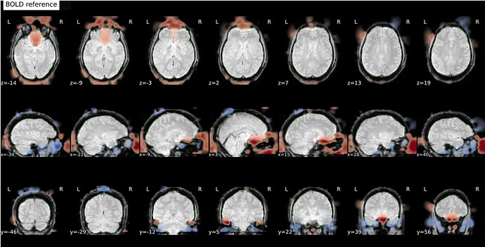
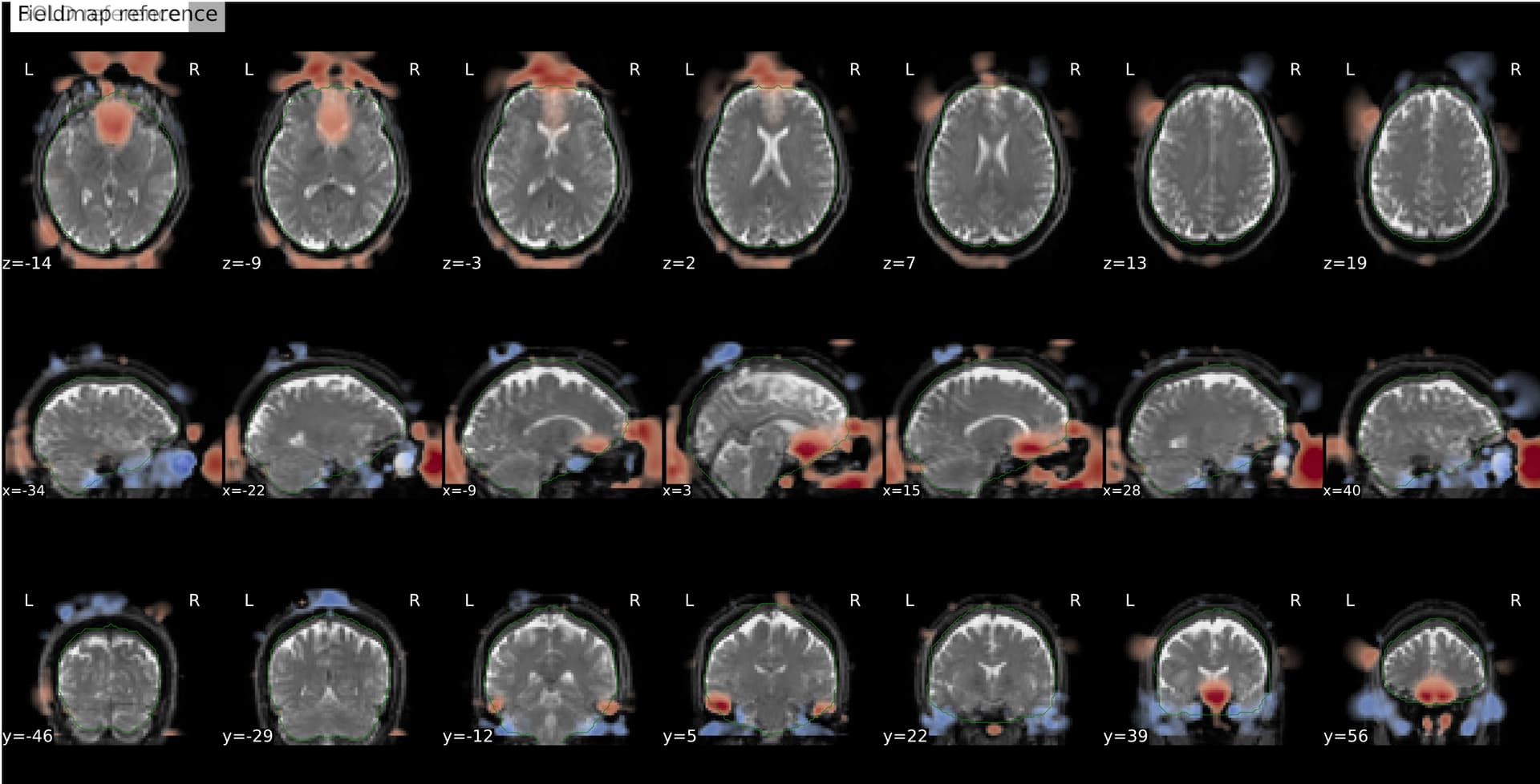
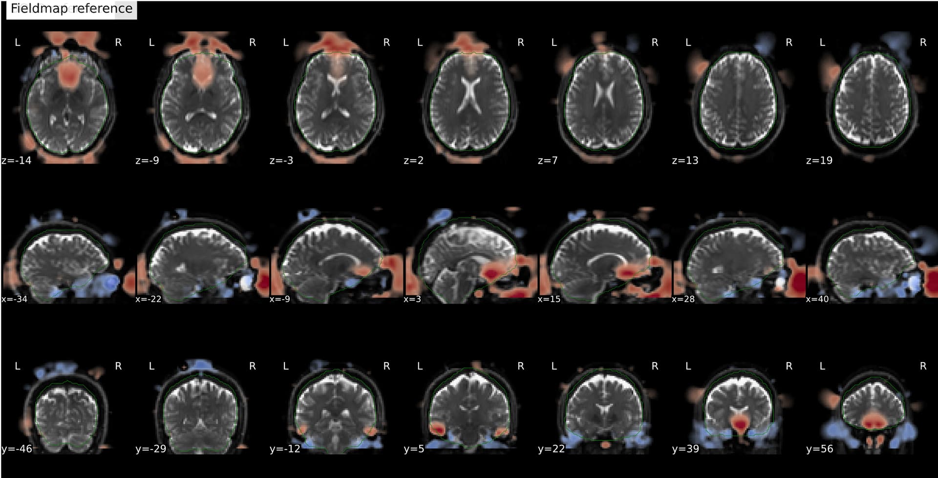
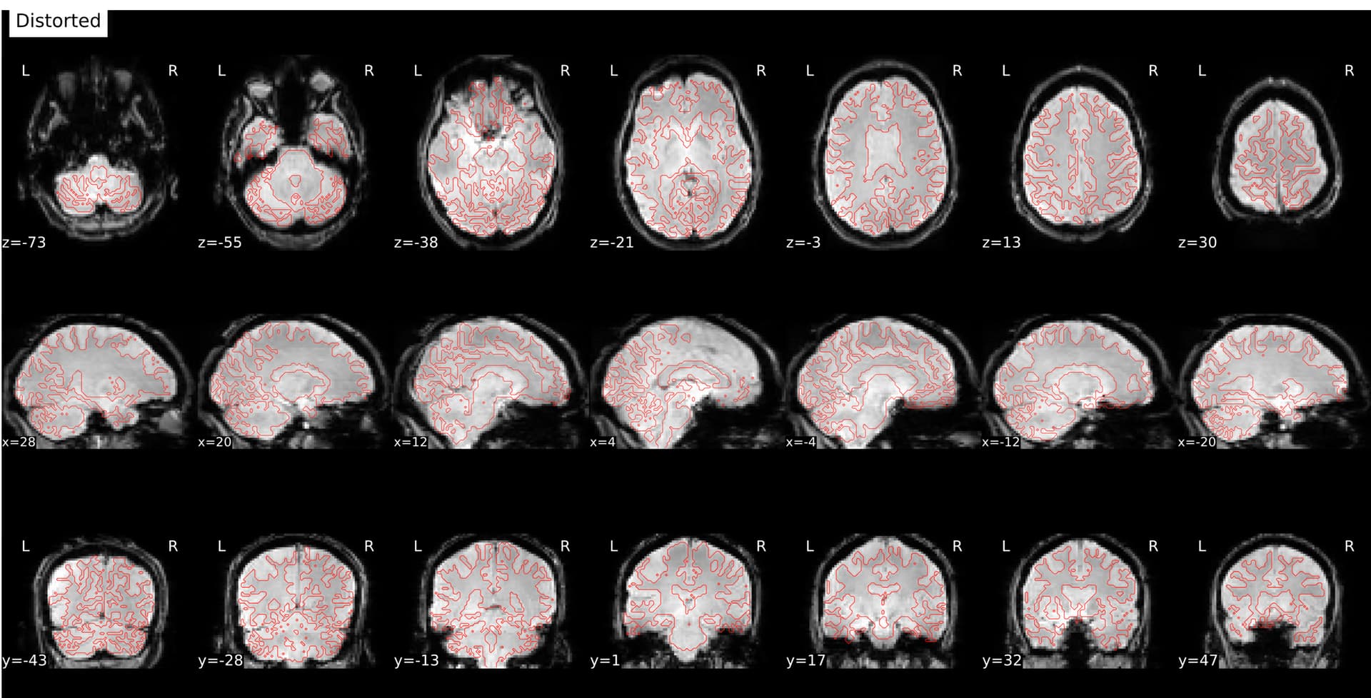
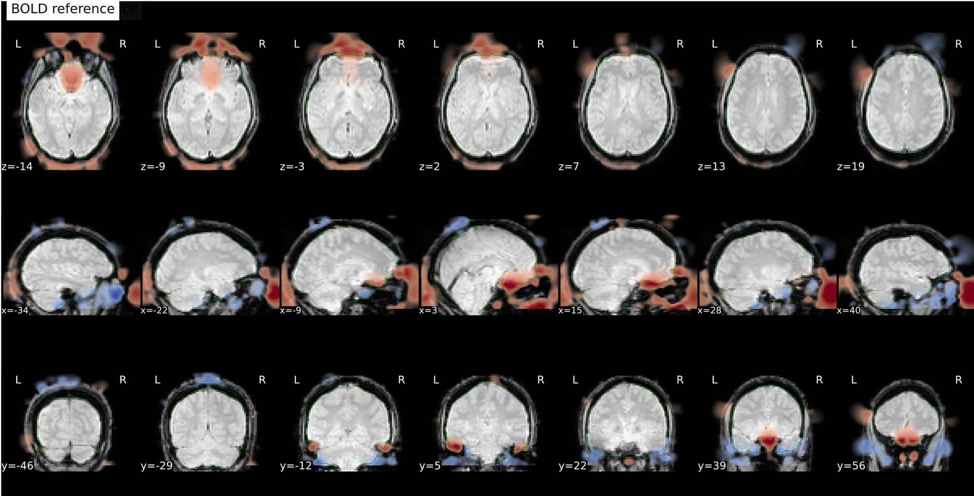
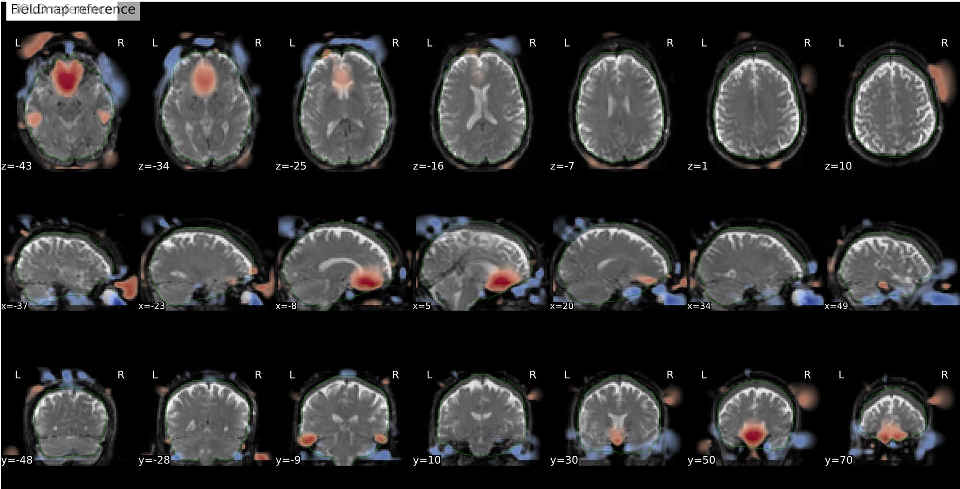
I’m seeing an apparent misalignment in the fmapCoreg reportlet for a PEPOLAR (SE-EPI AP/PA) distortion-correction workflow
Importantly:
- Raw AP/PA fieldmaps and raw BOLD data are perfectly aligned in native space.
- qform/sform matrices, voxel sizes, orientation, PE direction, and readout times all match across AP, PA, and all BOLD echoes.
- fMRIPrep runs without errors.
- The SDC before/after panel looks okay-ish, suggesting distortion correction itself is likely working somehow, but poor than for subjects where fmap-bold coreg works as expected.
Any idea on how to solve this?
Thanks,
Nelson
Command used (and if a helper script was used, a link to the helper script or the command generated):
singularity run --cleanenv \
-B $BIDS_DIR:/data:ro \
-B $OUTPUT_DIR:/out \
-B $SUBJECT_WORK_DIR:/work \
-B $LICENSE_FILE:/fs_license.txt \
-B $TEMPLATEFLOW_HOME:/templateflow \
$FMRIPREP_SIF \
/data /out participant \
--participant-label $PARTICIPANT_LABEL \
--fs-license-file /fs_license.txt \
--output-spaces MNI152NLin2009cAsym T1w fsnative func \
--skull-strip-template NKI \
--fd-spike-threshold 0.2 \
--dvars-spike-threshold 1.2 \
--output-layout legacy \
--me-output-echos \
--skip-bids-validation \
--nthreads 8 \
--omp-nthreads 4 \
--work-dir /work
Version:
fmriprep-23.2.3
Environment (Docker, Singularity / Apptainer, custom installation):
Singularity
Data formatted according to a validatable standard? Please provide the output of the validator:
PASTE VALIDATOR OUTPUT HERE
Relevant log outputs (up to 20 lines):
PASTE LOG OUTPUT HERE
Screenshots / relevant information:
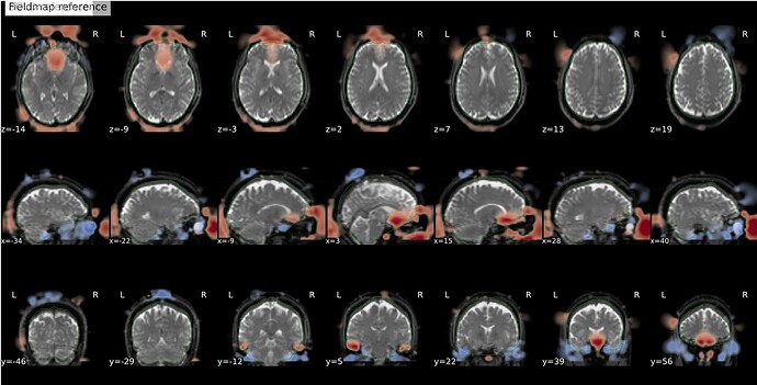
Another example:





