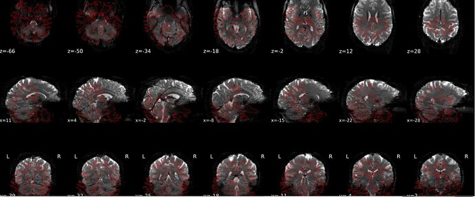
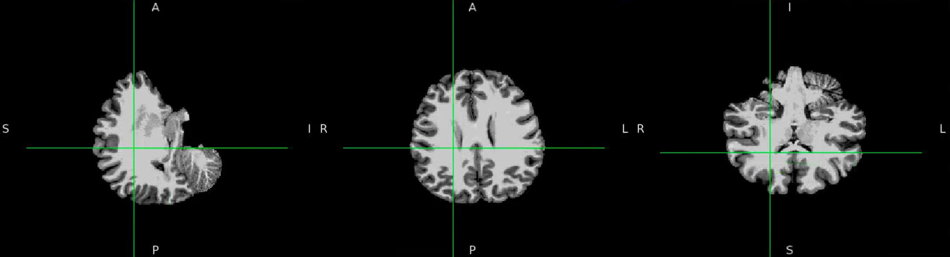
Summary of what happened:
Dear all,
We’ve encountered a problem of misalignment between EPI and T1W. The Freesurfer bbregister failed to align EPI and T1w as well as Freesurfer mri_coreg. While the recon output seems to be alright in the fmriprep output report but it’s in a different orientation when being viewed in fsleyes. Can you kindly provide any suggestions?
Command used (and if a helper script was used, a link to the helper script or the command generated):
/opt/conda/envs/fmriprep/bin/fmriprep /output_fmriprep_new --work-dir /work_fmriprep_new participant --participant_label sub-0001 --bold2anat-dof 12 --dummy-scans 10 --skull-strip-t1w skip --fs-subjects-dir /external_recon/Output --force bbr --output-spaces T1w MNI152NLin6Asym:res-2 MNI152NLin2009cAsym --write-graph --omp-nthreads 4 --nthreads 4 --fs-license-file /license.txt --stop-on-first-crash --mem_mb 40000
Version:
freesurfer/7.3.2
fmriprep/25.0.0
Environment (Docker, Singularity / Apptainer, custom installation):
We run the command in Slurm with a bash script.
Screenshots / relevant information:
Many thanks
Yan

